A lo largo de la historia médica, en el mundo han existido diversas enfermedades que pueden complicar el estado de salud y bienestar de las personas. Del mismo modo, cabe señalar que las enfermedades conviven en un solo sistema fisiológico, que afecta a uno o más órganos del cuerpo. Hablemos del síndrome de Cushing que afecta a los huesos, piel y músculos. Así como también el desarrollo de diabetes mellitus e hipertensión que, a su vez, afectan al cerebro y corazón. A continuación.
¿Qué es el síndrome de Cushing?
El síndrome de Cushing es una condición médica que se produce cuando hay una cantidad excesiva de hormonas de cortisol en el cuerpo (Fauci et al., 2009).

El importante papel del cortisol
El cortisol es una hormona producida por la glándula suprarrenal. Necesaria para mantener un equilibrio adecuado de azúcares en el cuerpo, regular el sistema inmunológico y controlar la respuesta del cuerpo al estrés.
Sin embargo, cuando hay demasiado cortisol en el cuerpo, puede causar una serie de síntomas neurológicos y fisiológicos que suelen afectar la salud en general. Existiendo un aumento significativo del peso, que impide a diferentes células la absorción de compuestos que se traducen en energía.
¿Cómo surge?
Como se ha mencionado, el síndrome de Cushing se produce por un exceso de cortisol. En ocasiones, puede ser causado por la administración de corticosteroides externos como tratamiento médico. Además, se ha asociado a la aparición de tumores en la glándula suprarrenal y la glándula pituitaria, ubicada en la base del cerebro. A veces, el tumor se puede desarrollar en otras partes del cuerpo que produce cortisol o una hormona similar (Gross et al., 2007).
Afectación del síndrome de Cushing en el cerebro
Uno de los principales efectos del Cushing en el cerebro es la afectación del sistema endocrino. Este sistema está implicado en la disminución de la actividad sexual, el desarrollo de trastornos menstruales y disfunción eréctil, entre otros.
Por otra parte, se ha reportado que esta enfermedad puede deteriorar gradualmente diversas redes neuronales asociadas al cortisol. Hormona que, además de lo comentado, tiene una función regulatoria en la adquisición de nuevos aprendizajes de manera regulada.
Por ello, una gran cantidad puede propiciar amnesia, problemas para el almacenamiento de memoria y causar el desarrollo de trastornos de ansiedad. Dada la compleja red que existe entre la pituitaria, el hipotálamo e hipocampo. Esto es debido, además de la estimulación directa de glucosa y cortisol, por diversas sustancias llamadas glucocorticoides, producidos en el hígado y riñón.
Veamos un caso real
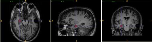
En un estudio realizado por Rasmussen et al. (2015) se compararon personas sanas y personas con el síndrome de Cushing. Se observó que existía una alteración en la sustancia gris del cerebro. Aspecto que revelaría la atrofia cerebral en los pacientes diagnosticados, como el déficit en la velocidad de procesamiento y la cognición. Resultados que exponen el grave deterioro en quienes presentan dicha condición.

Efectos neuropsicológicos
En la actualidad, se sabe que el síndrome de Cushing puede afectar de manera significativa la personalidad de quien que lo padece. Tal es así, que puede aparecer un inadecuado control emocional y, del mismo modo, presentarse problemas de ansiedad y depresión. E incluso, episodios de psicosis dada la alteración por glucocorticoides del sistema nervioso central.
Además, si existe un tumor en la hipófisis es común que ocurra un desequilibrio de cortisol que también afecta el procesamiento visual-espacial y a la propia percepción. De hecho, esto puede comenzar a desarrollar principios de alucinosis (Velassi et al., 2012).
Más síntomas de lo que parece
Por otro lado, las personas que conviven con el síndrome suelen tener problemas con el desarrollo verbal, llegando a desarrollar apraxias de lenguaje. Hecho que muestra que existen alteraciones incluso después del tratamiento, por lo que la rehabilitación neuropsicológica será importante. Así mismo, al ser el síndrome de Cushing una afectación directa a la hipófisis, existen desórdenes de índole sexual, llegando a la dismorfia sexual y corporal donde las personas evitan tener contacto sexual.
Finalmente, se presentan síntomas de difusión cerebral difusa, que suelen ser causantes de trastornos metabólicos asociados a las concentraciones bajas de glucosa. Con esto, generalmente, también pueden existir episodios de hipoglucemia, relacionados directamente con el desarrollo tumoral en la hipófisis, afectando la comprensión, razonamiento y el análisis, así como la integración de nueva información (Rogers et al., 1994).
¿Qué se puede hacer para el tratamiento cognitivo del síndrome de Cushing desde casa?
Es importante que en el desarrollo de tratamiento neuropsicológico haya un fortalecimiento cognitivo en las siguientes áreas:

- Memoria: Para la rehabilitación de memoria es importante considerar funciones tanto visuales, auditivas y táctiles como ejecutivas. Puede hacerse uso de juegos como memoramas, en cuanto recordar palabras y formación palabras, aprender canciones, realización de lectura y resúmenes.
- Velocidad de procesamiento: La mejora de la velocidad de respuesta puede darse a la par de la memoria. Por lo que los siguientes, hay ejercicios que pueden agilizar la velocidad de procesamiento de manera didáctica como el ¡Basta!, ¡Pictureka! o el juego del lince, juegos de atención, identificación y velocidad cognitiva.
- Razonamiento: El razonamiento es importante para el análisis de circunstancias que pueden ser determinantes para la toma de decisiones. Algunos ejercicios pueden ser jugar ajedrez, la resolución de crucigramas y sudokus. Estos ejercicios no solo estimulan el razonamiento, sino que además involucran otras áreas cerebrales.
- Fluidez verbal: El procesamiento verbal es un importante factor a la hora de hablar de manera coordinada y fluida. Y es que, cuando se ejercita el habla se integran nervios craneales, ejercicios respiratorios y neuromotrices que interactúan en conjunto con la reproducción del habla. Algunos ejercicios son cantar canciones, leer en voz alta y recitar trabalenguas.
Recomendaciones
El seguimiento de quien presenta el síndrome ha de multidisciplinario, partiendo de la evaluación neuropsicológica, médica y neurológica. Con cada uno de los especialistas se tiene que llevar una evaluación optima de los efectos cerebrales y físicos post-Cushing. De modo que se evite una recaída de la salud y se favorezca el desarrollo del bienestar integral.
Conclusión
Los efectos de esta enfermedad crónica pueden deteriorar de manera notable la calidad de vida o volverse un padecimiento que lleve a la muerte. Las intervenciones suelen ser neuroquirúrgicas, caracterizadas por ser sumamente delicadas y velando por no alterar circuitos noradrenérgicos. Por todo esto, la rehabilitación suele ser tardía y compleja. Además, dependiendo del daño cerebral de diversas zonas, esta será completa o parcial.
Referencias bibliográficas
- Fauci, A. S., Braunwald, E., Isselbacher, K., Wilson, J. D., Martin, J. B., Kasper, D. L. y Longo Dan, L. (Eds.). (2009). Harrison, principios de medicina interna. McGraw Hill.
- Gross, B. A., Mindea, S. A., Pick, A. J., Chandler, J. P. y Batjer, H. H. (2007). Medical management of Cushing disease. Neurosurgical focus, 23(3), E10. https://doi.org/10.3171/foc.2007.23.3.12
- Rasmussen, S. A., Rosebush, P. I., Smyth, H. S. y Mazurek, M. F. (2015). Cushing Disease Presenting as Primary Psychiatric Illness: A Case Report and Literature Review. Journal of psychiatric practice, 21(6), 449-457. https://doi.org/10.1097/PRA.0000000000000113
- Resmini, E., Santos, A., Gómez‐Anson, B., López‐Mourelo, O., Pires, P., Vives‐Gilabert, Y. y Webb, S. M. (2013). Hippocampal dysfunction in cured C ushing’s syndrome patients, detected by 1 H‐MR‐spectroscopy. Clinical Endocrinology, 79(5), 700-707. https://doi.org/10.1111/cen.12224
- Rogers, L. R., Weinstein, M. A., Estes, M. L., Cairncross, J. G. y Strachan, T. (1994). Diffuse bilateral cerebral astrocytomas with atypical neuroimaging studies. Journal of neurosurgery, 81(6), 817-821. https://doi.org/10.3171/jns.1994.81.6.0817
- Tritos, N. A. y Biller, B. M. K. (2020). Advances in the Medical Treatment of Cushing Disease. Endocrinology and metabolism clinics of North America, 49(3), 401-412. https://doi.org/10.1016/j.ecl.2020.05.003
- Valassi, E., Crespo, I., Santos, A. y Webb, S. M. (2012). Clinical consequences of Cushing’s syndrome. Pituitary, 15(3), 319-329. https://doi.org/10.1007/s11102-012-0394-8